Geen financiële verrassingen
Gratis eerste consult
Beste behandeling
Toggle navigation
Welkom
Nieuws
Ons team
Om te weten
Eindfoto's patiënten
Video's
Praktijkvideo
Interviews
Financieel
Tarieven
Kosten
Vergoedingen
Declaraties
Klachten
Behandeling
Behandeltraject
Retentie fase
Logopedie en orthodontie
Voor en na behandeling
Foto's voor en na
Videos voor en na
Aanmelden
Aanmelden eerste consult
Inschrijven
Medische Anamnese Senioren
Medische Anamnese Junioren
Contact
Enschede
Foto's praktijk Enschede
Hengelo
Foto's praktijk Hengelo
Vacatures
Enquête
Links
Nooddienst
Afspraak maken
Behandeling Heleen
Duur
van 27.03-2014 tot 07.06.2016
Beschrijving
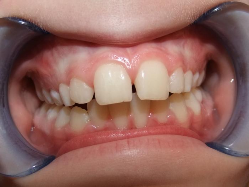
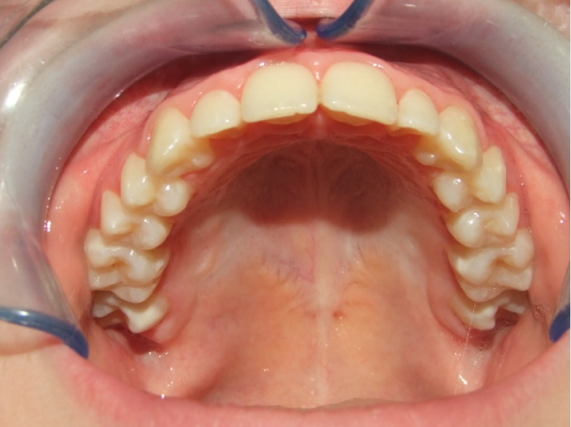
Leeftijd bij aanvang: 9 jaar
1-6 Bonded Hyrax + volledig vast onderkaak & TransForce
7-13 Twin Block
14-26 volledig vast boven- en onderkaak + TPA
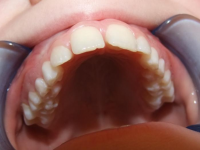
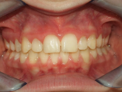
Leeftijd bij retentie: 11 jaar
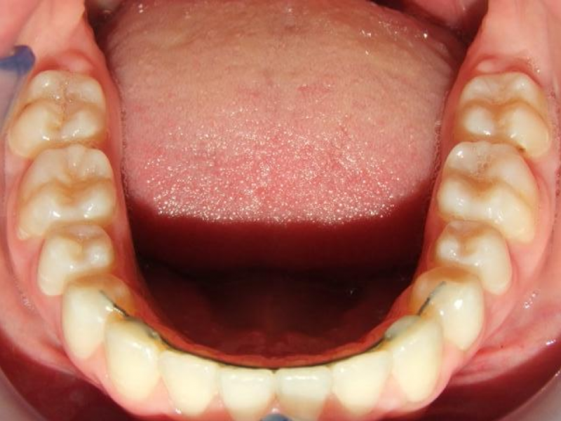
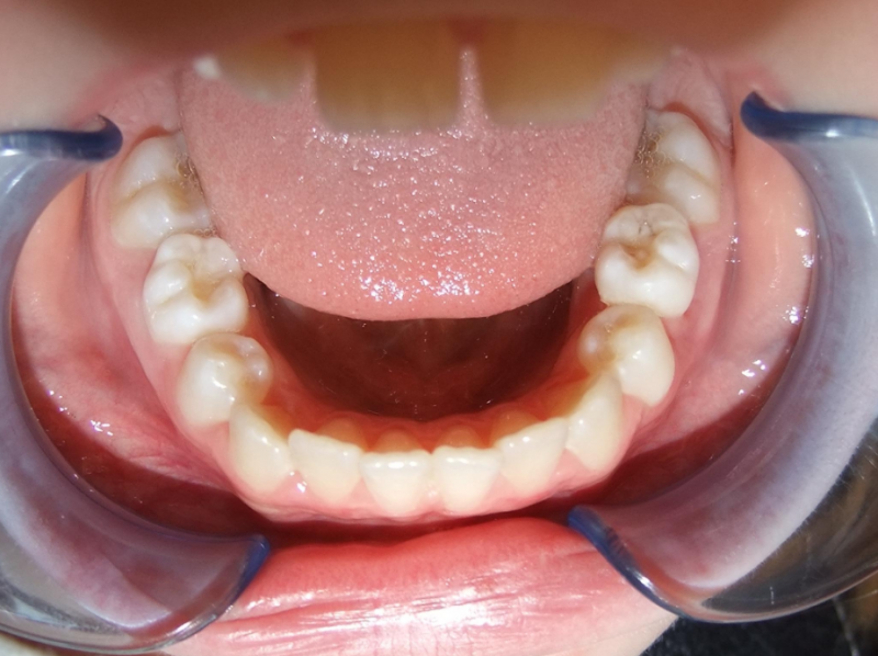
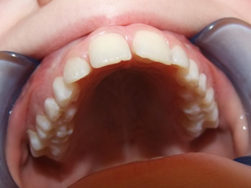
Voor behandeling
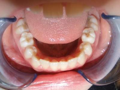
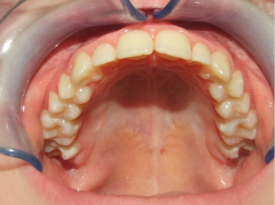
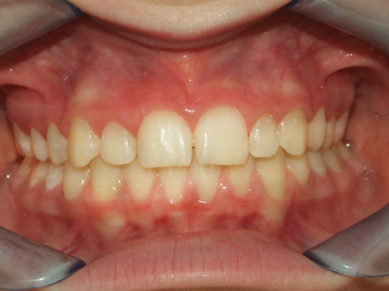
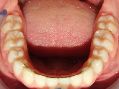
Na behandeling
Gratis eerste consult
Groot genoeg voor innovatie, Lorem ipsum dolor sit amen, consectetur