Geen financiële verrassingen Gratis eerste consult Beste behandeling

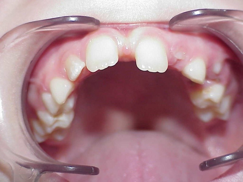
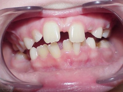
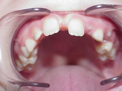
Behandeling Anne-Claire

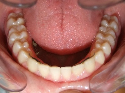
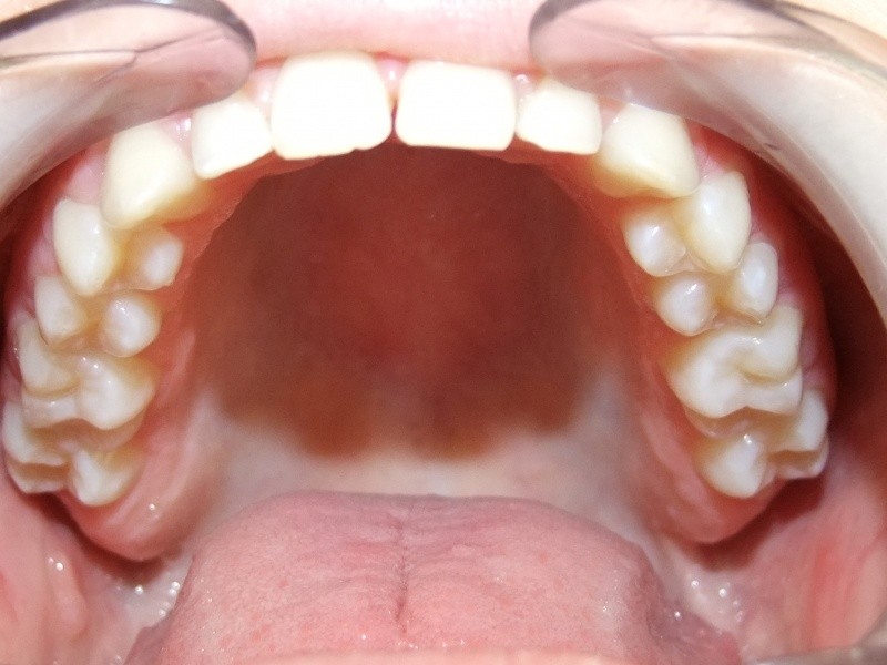
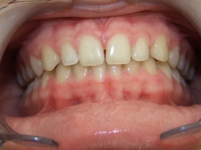
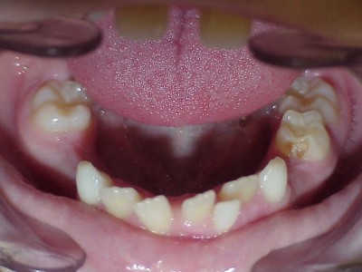
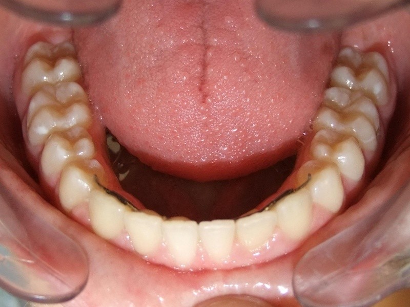
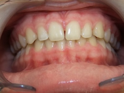
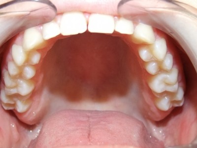
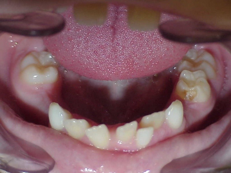
eindfoto
Duur
Actieve fase 3.10 jaar  
Beschrijving
Leeftijd bij aanvang: 9 jaar
Maand 1-6: in de bovenkaak Bonded Hyrax
In de onderkaak volledig slotjes/banden en TransForce
Maand 7-14: TwinBlock in onderkaak en bovenkaak
Maand 15-46: volledig slotjes/banden in bovenkaak
In de onderkaak met expander
Retentie fase: Wrap en C-C Bar
Leeftijd bij retentie fase: 13 jaar