Geen financiële verrassingen Gratis eerste consult Beste behandeling
Behandeling Marel
Duur
Actieve fase: 2,2 jaar
Beschrijving
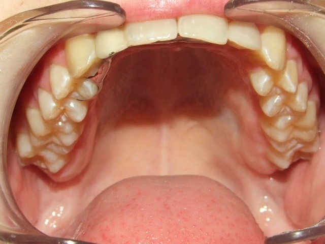
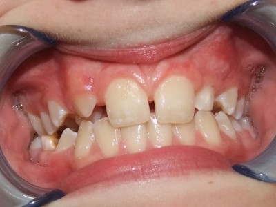
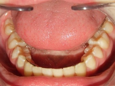
Leeftijd bij aanvang: 10 jaar
Maand 1-6: In de bovenkaak Bonded Hyrax, FaceMask
In de onderkaak volledig slotjes/brackets
TransForce met behulp van banden
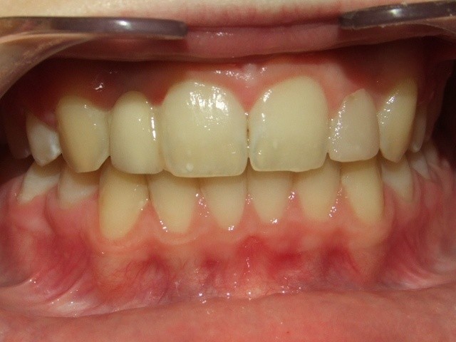
Maand 7-26: Brackets en banden in bovenkaak en onderkaak
Expander in de bovenkaak
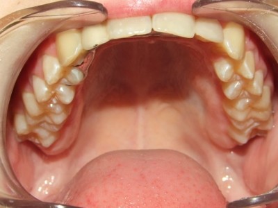
Retentie fase: Invisable Retainer en C-C- Bar
Leeftijd bij retentie fase: 13 jaar
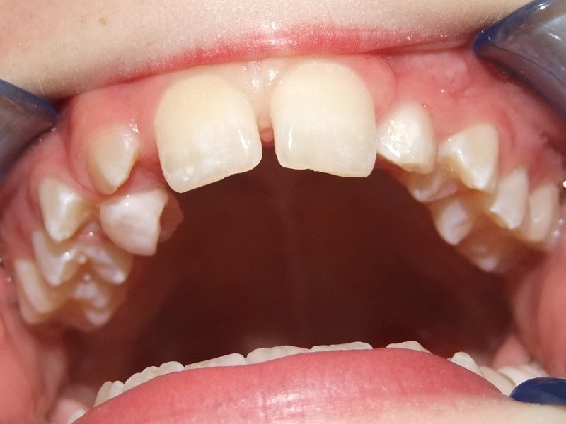
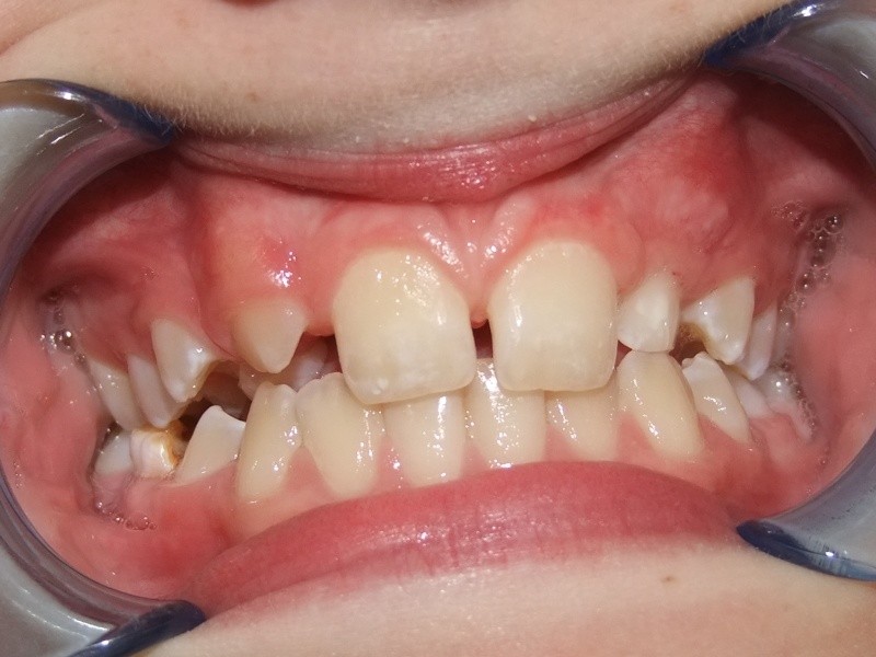
Voor behandeling
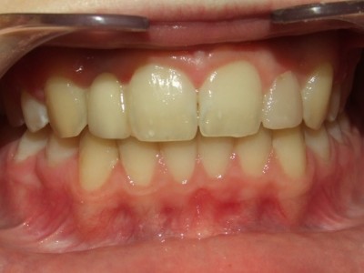
Na behandeling
Gratis eerste consult
Groot genoeg voor innovatie, Lorem ipsum dolor sit amen, consectetur