Geen financiële verrassingen Gratis eerste consult Beste behandeling

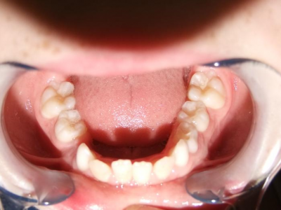
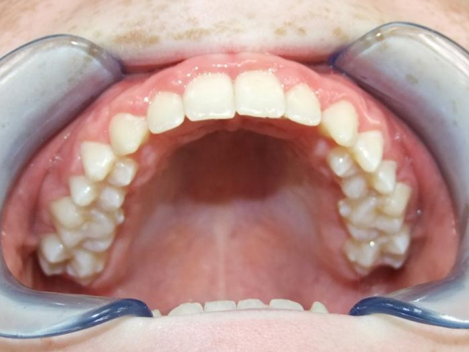
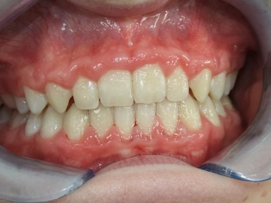
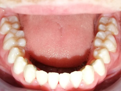
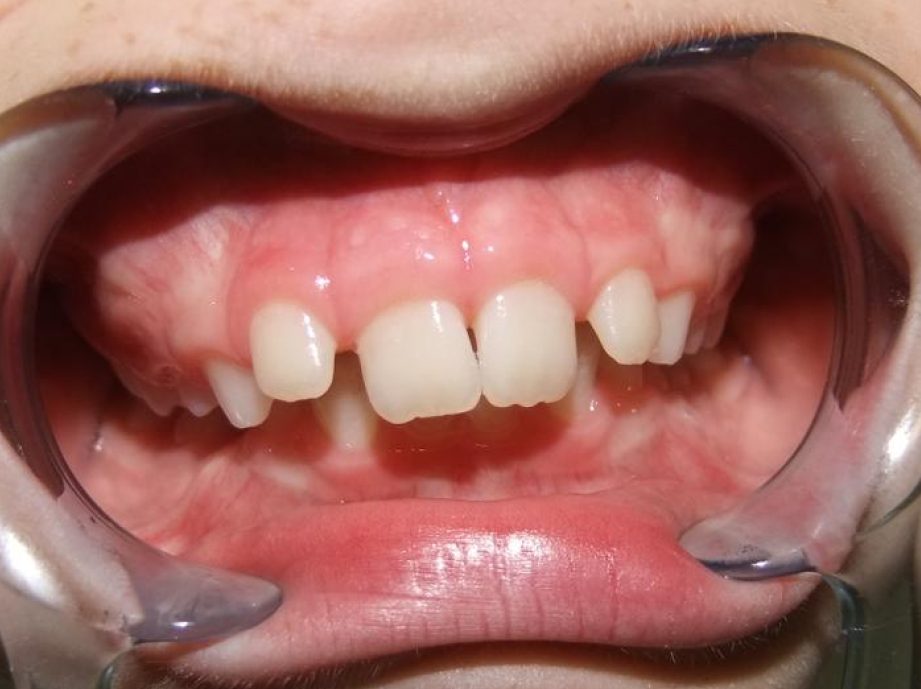
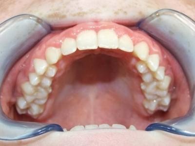
Behandeling Hugo

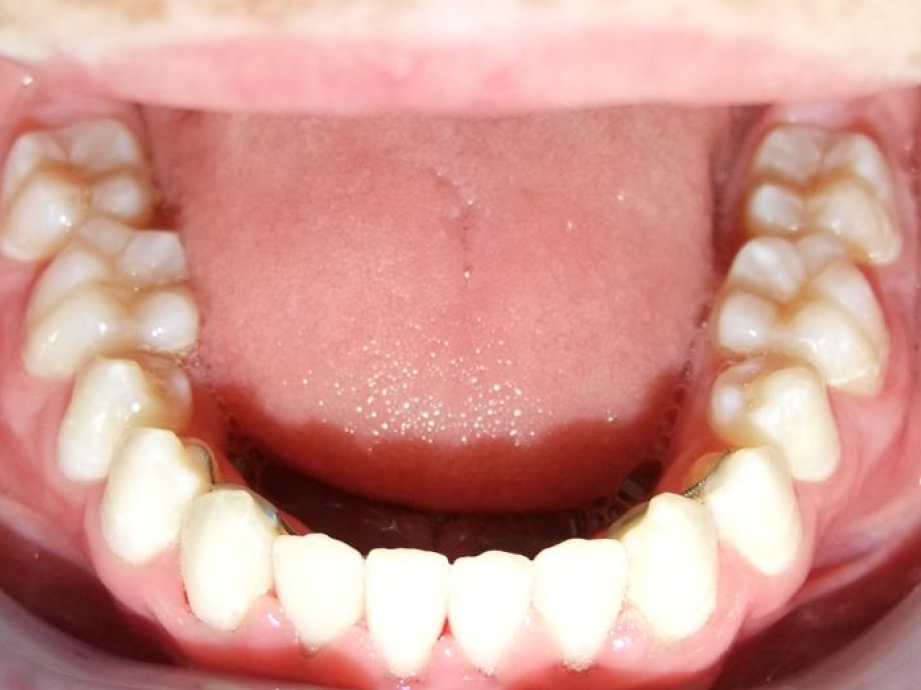
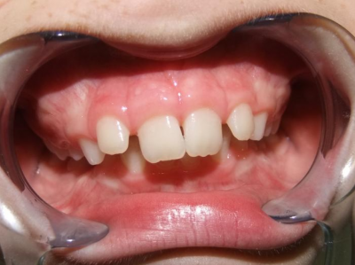
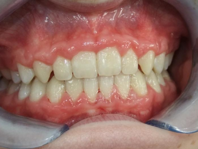
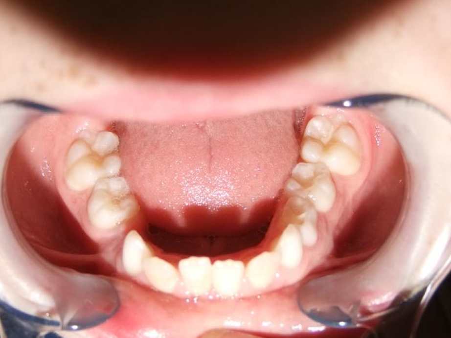
eindfoto
Duur
-  
Beschrijving
Leeftijd bij aanvang: 9 jaar
1-6 Bonded Hyrax + partieel vast onderkaak + TransForce onderkaak
7-13 Twinblock
13-22 volledig vast onder- en bovenkaak + rotator
Retentie: wrap en c-c bar
Leeftijd bij retentie: 12 jaar