Geen financiële verrassingen Gratis eerste consult Beste behandeling

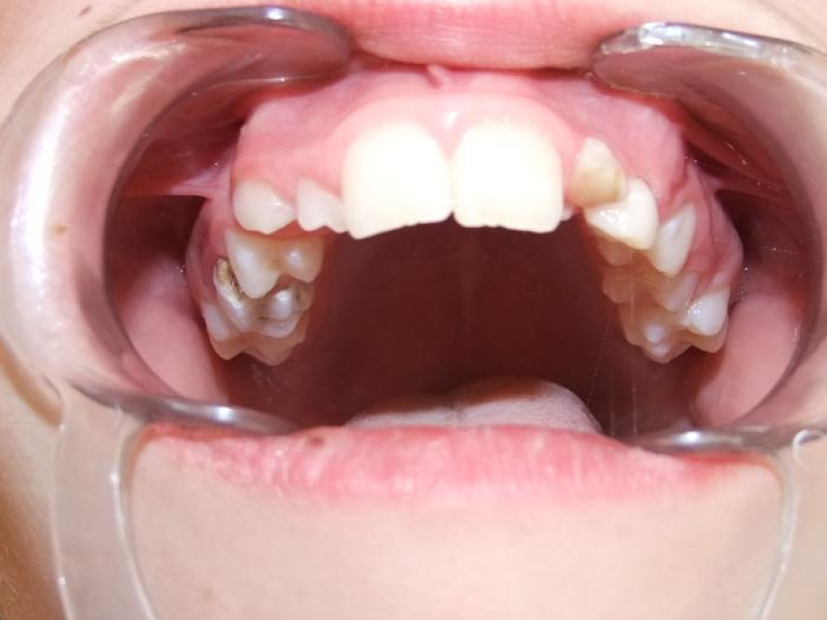
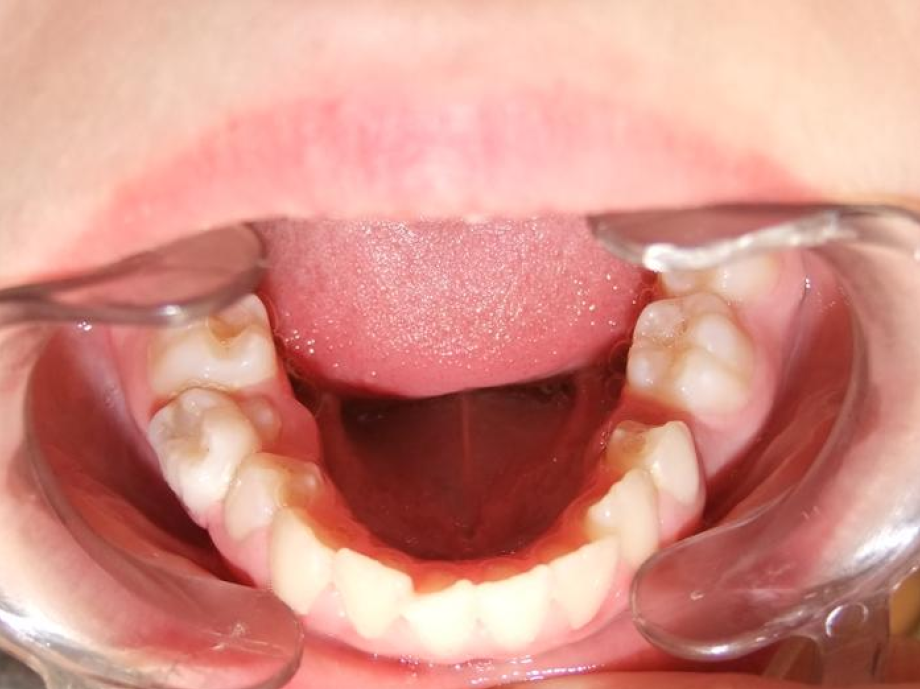
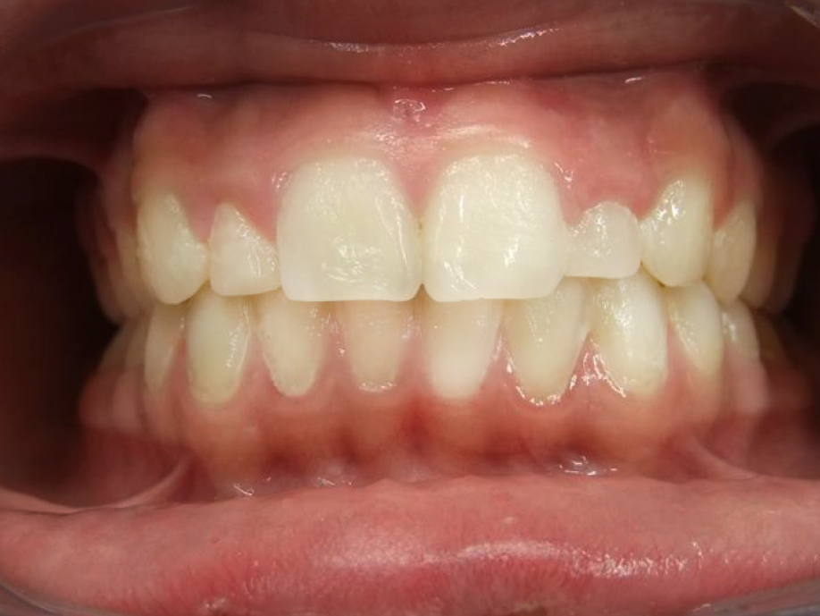
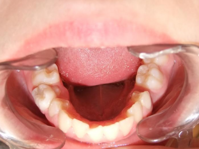
Behandeling Joleyn

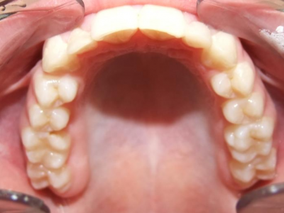
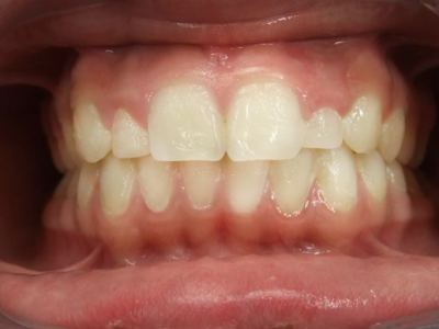
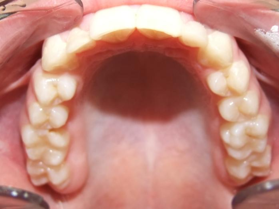
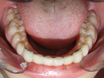
eindfoto
Duur
-  
Beschrijving
Leeftijd bij aanvang: 13 jaar
1-6 Bonded Hyrax + volledig vast + TransForce onderkaak
7-22 volledig vast onder- en bovenkaak + expander bovenkaak
Retentie: set-up-schiene
Leeftijd bij retentie: 15 jaar