Geen financiële verrassingen Gratis eerste consult Beste behandeling

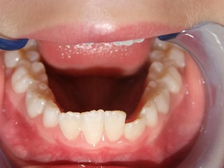
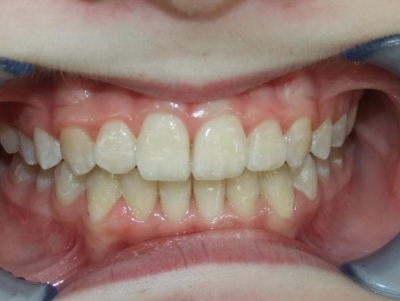
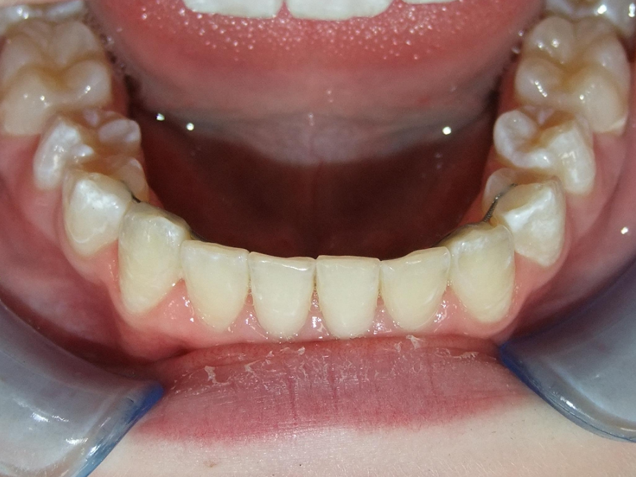
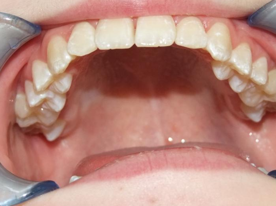
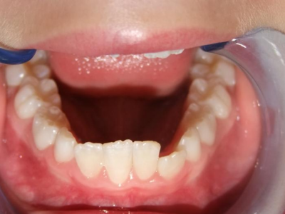
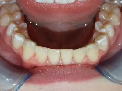
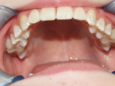
Behandeling Tessa

eindfoto
Duur
-  
Beschrijving
Leeftijd bij aanvang: 9 jaar
1-6 Bonded Hyrax + volledig vast onderkaak + TransForce onderkaak
7-13 Twin Block
14-28 volledig vast onder- en bovenkaak + rotator
Retentie: Wrap-Around
Leeftijd bij retentie: 12 jaar