Geen financiële verrassingen Gratis eerste consult Beste behandeling

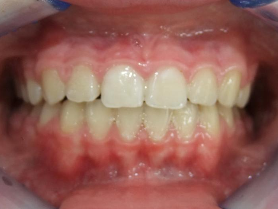
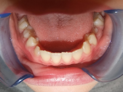
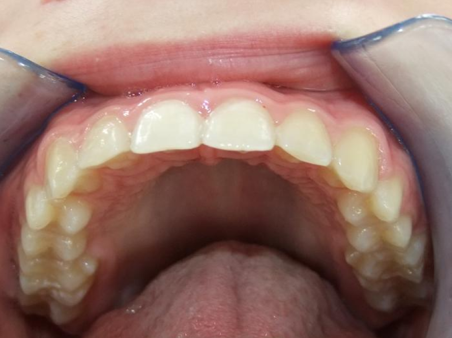
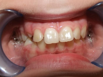
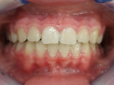
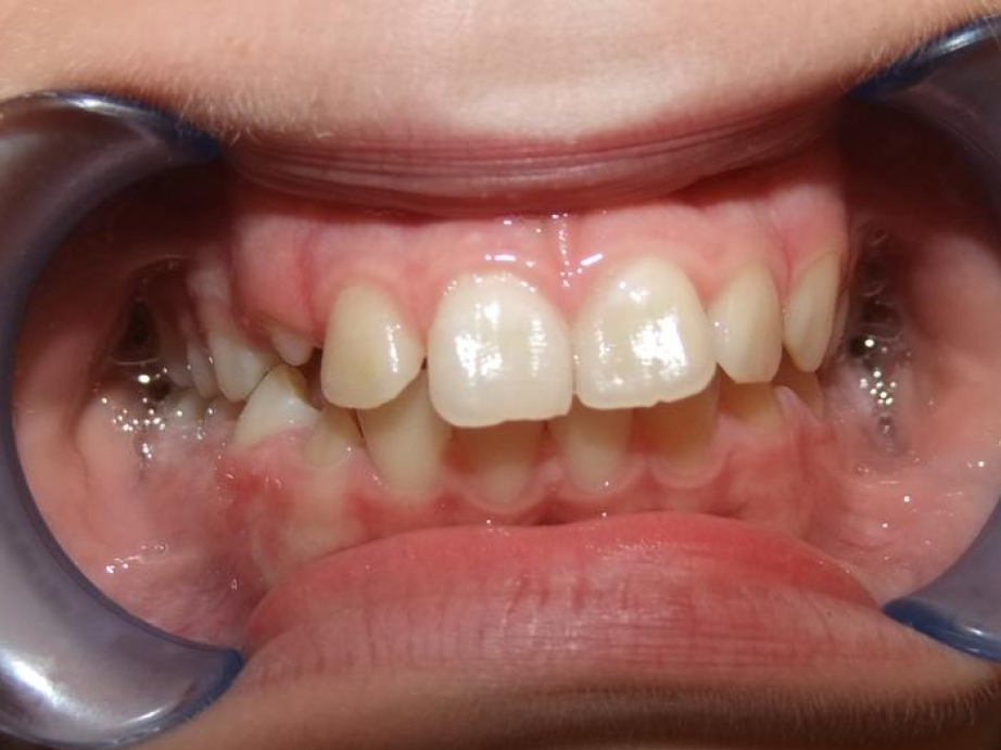
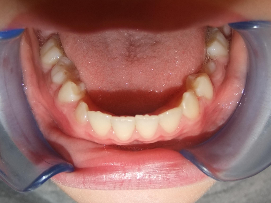
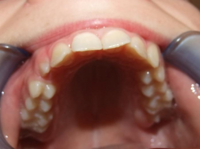
Behandeling Thijmen

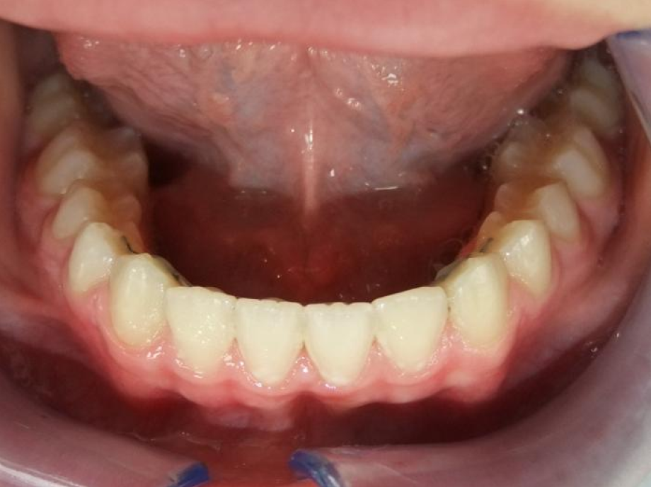
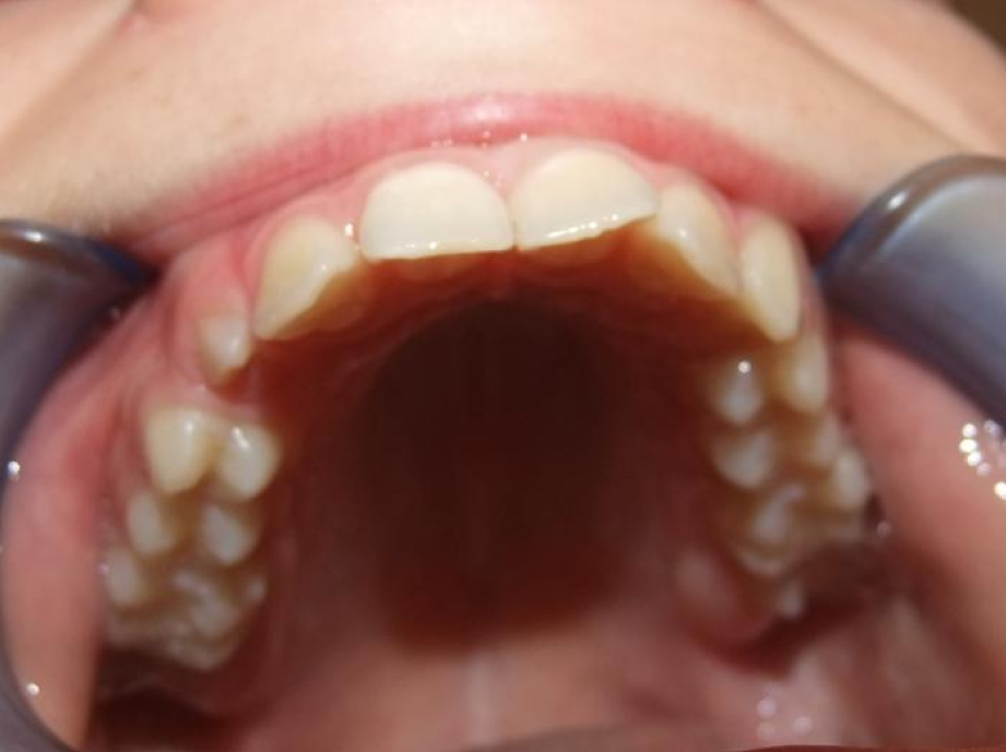
eindfoto
Duur
-  
Beschrijving
Leeftijd bij aanvang: 10 jaar
1-6 Bonded Hyrax + volledig vast onderkaak + TransForce onderkaak
7-18 volledig vast onder- en bovenkaak + TPA
Retentie: Wrap-Around
Leeftijd bij retentie: 12 jaar