Geen financiële verrassingen Gratis eerste consult Beste behandeling

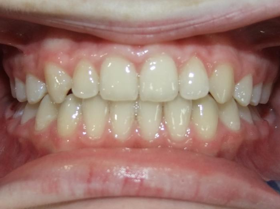
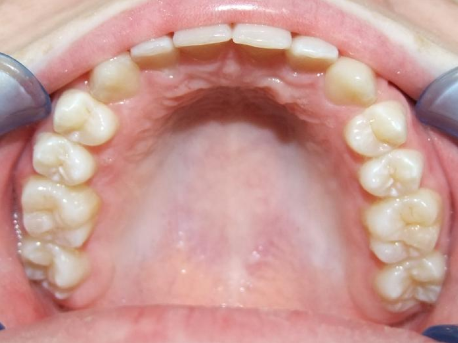
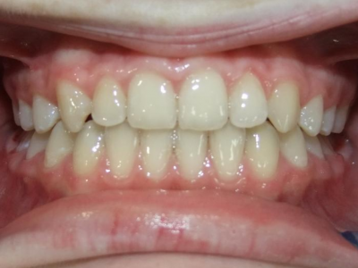
Behandeling Vera

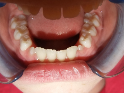
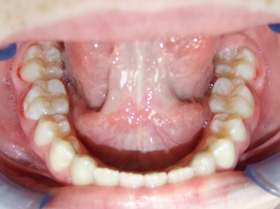
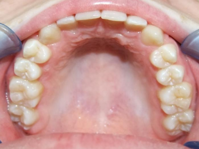
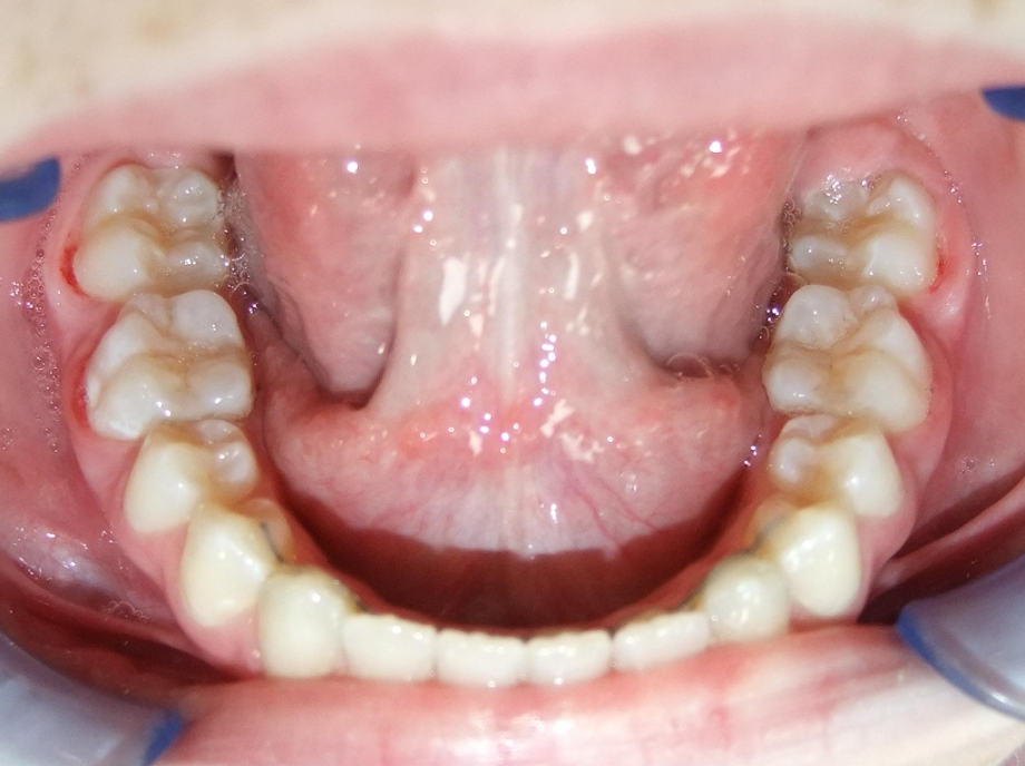
eindfoto
Duur
-  
Beschrijving
Leeftijd bij aanvang: 9 jaar
1-6 Bonded Hyrax + TransForce onderaak + partieel vast onderkaak
7-12 pauze met TransForce bovenkaak + libi onderkaak
13-22 volledig vast onder- en bovenkaak
Retentie: Wrap-Around
Leeftijd bij retentie: 11 jaar