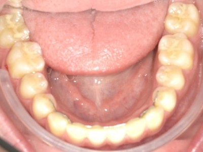
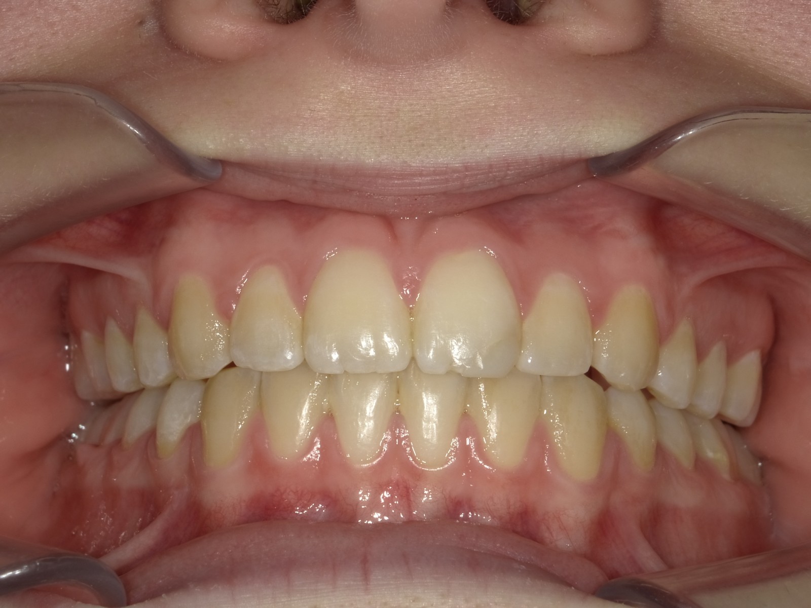
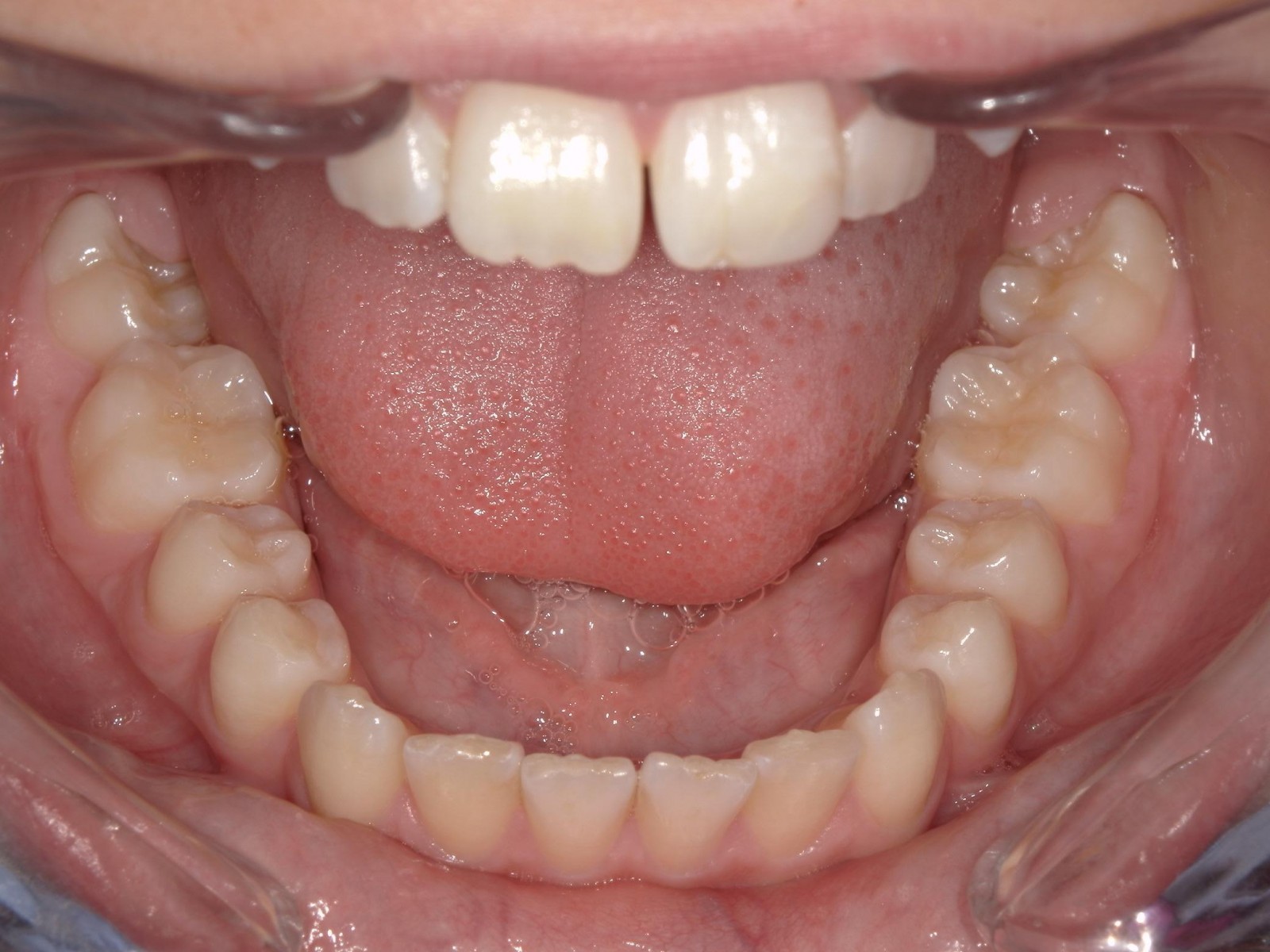
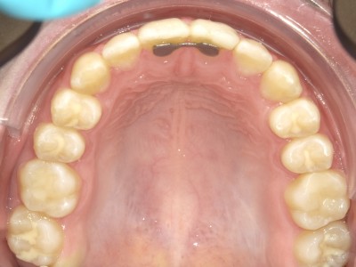
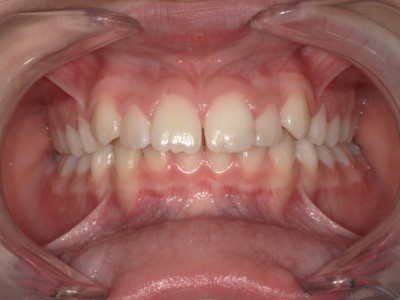
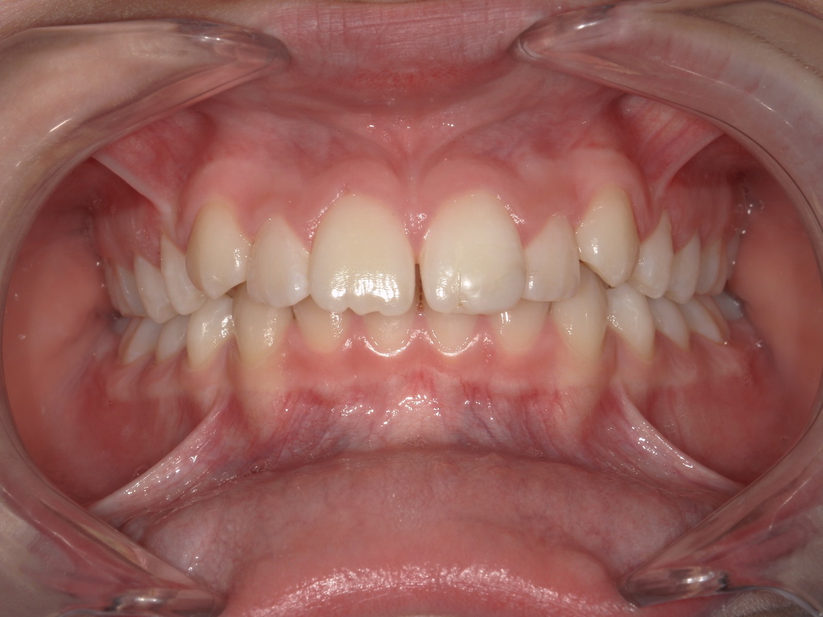
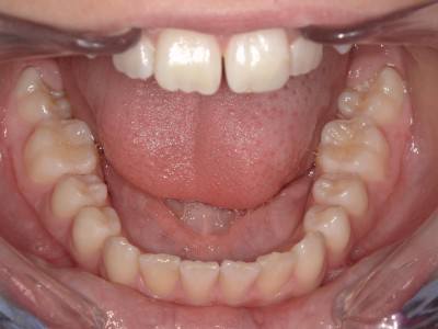
7-20 Volledig vast onderkaak en bovenkaak
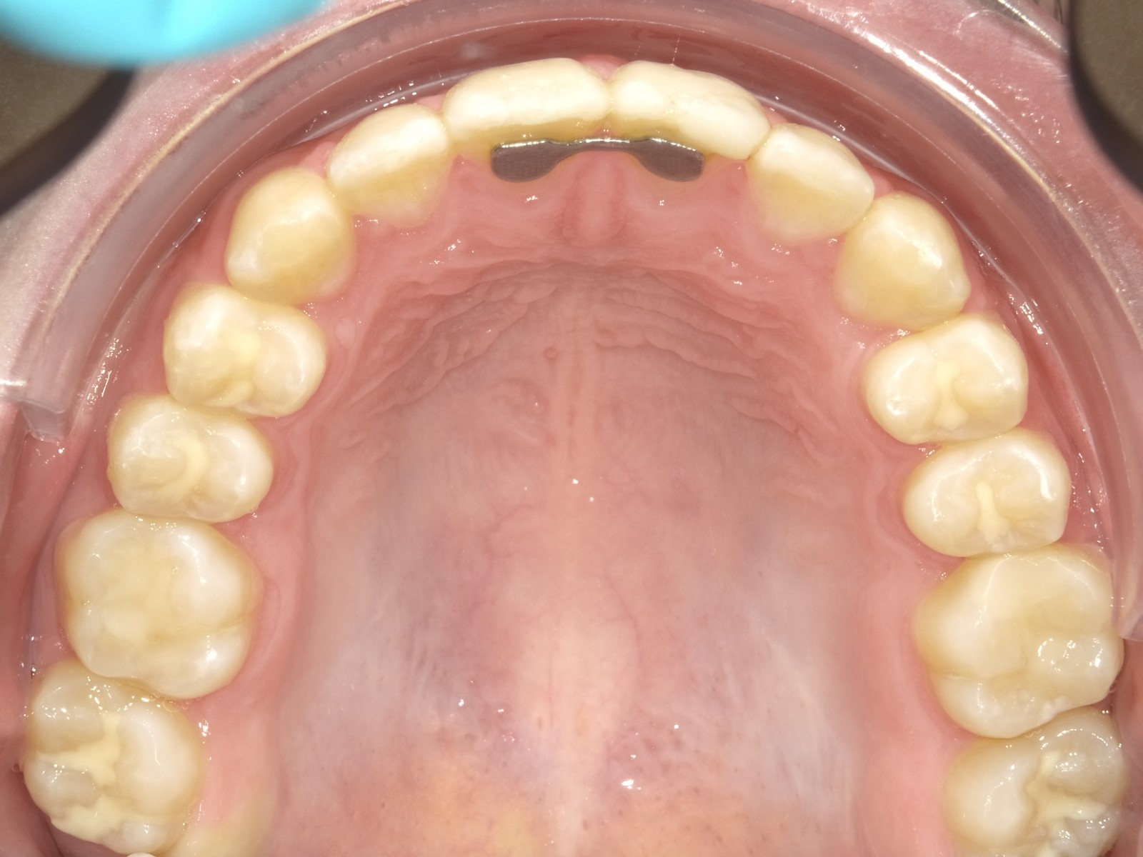
Retentie: Wrap
Groot genoeg voor innovatie, Lorem ipsum dolor sit amen, consectetur