Geen financiële verrassingen Gratis eerste consult Beste behandeling

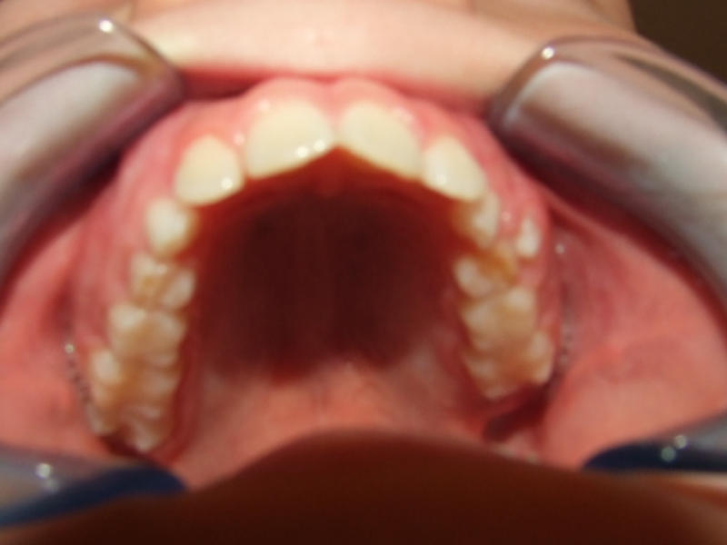
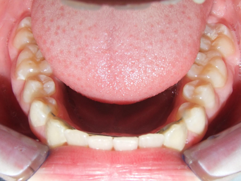
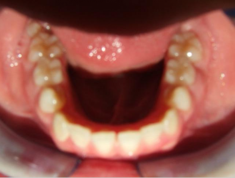
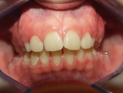
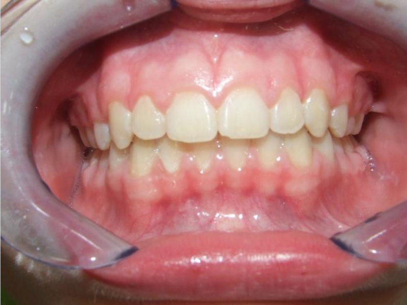
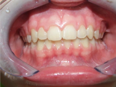
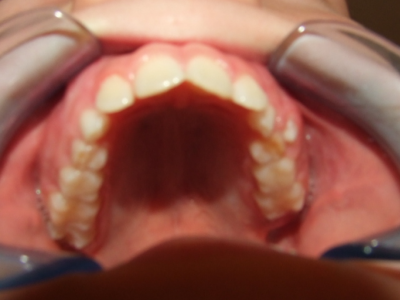
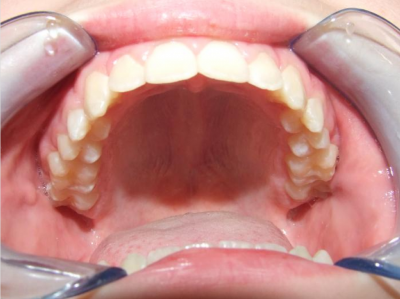
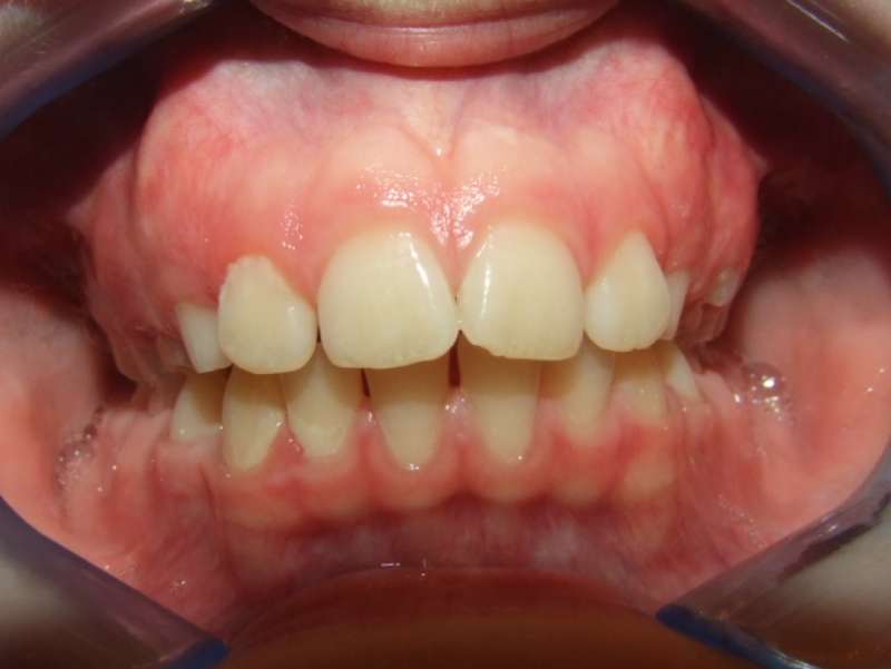
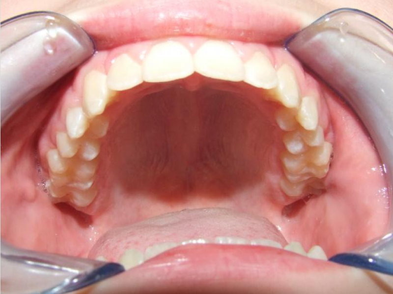
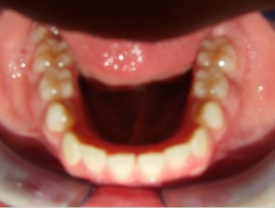
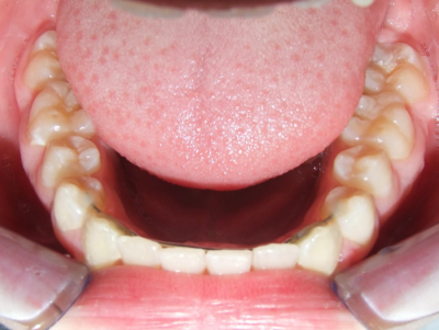
Behandeling Raoul

eindfoto
Duur
van 13-3-14 tot 16-9-15  
Beschrijving
Leeftijd bij aanvang: 10 jaar
Bonded Hyrax + volledig vast onderkaak
Volledig vast bovenkaak + expander
Wrap + c-c bar onderkaak
Leeftijd bij afname: 12 jaar