Geen financiële verrassingen Gratis eerste consult Beste behandeling
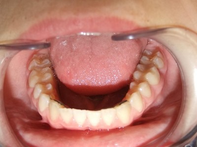
Behandeling Jorn
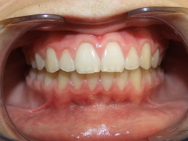
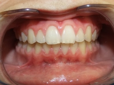
Duur
Actieve fase: 24 maanden
Beschrijving
Leeftijd bij aanvang: 11 jaar
1-6 maanden: Bonded Hyrax in de bovenkaak, banden/slotjes met Transforce in de onderkaak
7-13 maanden: Twinblock
7-24 maanden Volledig Banden en slotjes in boven-en onderkaak met rotator
Retentie fase: Damon en C-CBar
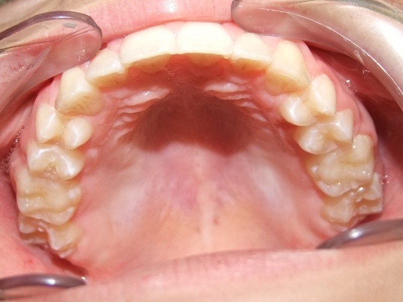
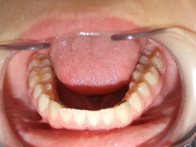
Voor behandeling
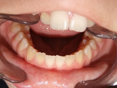
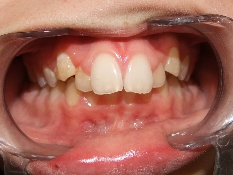
Na behandeling
Gratis eerste consult
Groot genoeg voor innovatie, Lorem ipsum dolor sit amen, consectetur