Geen financiële verrassingen Gratis eerste consult Beste behandeling

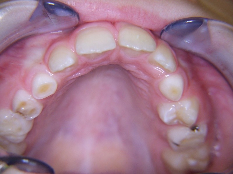
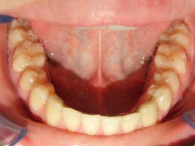
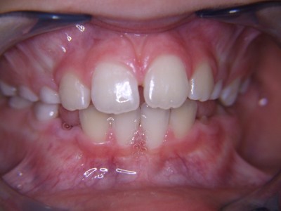
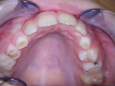
Behandeling Maurits

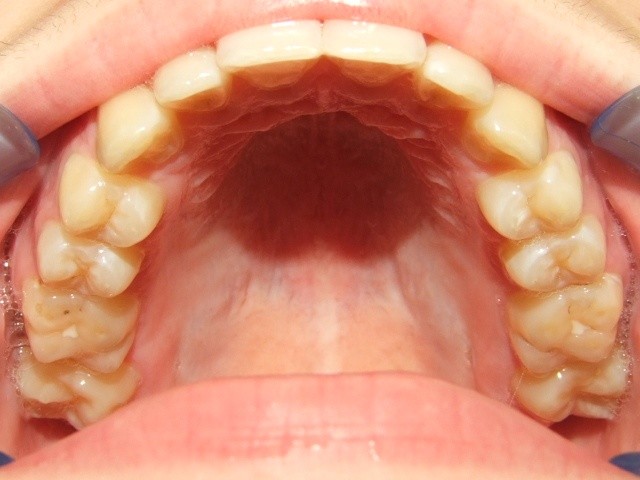
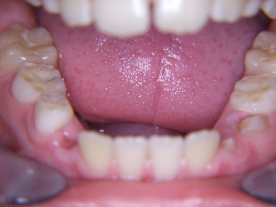
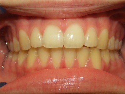
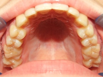
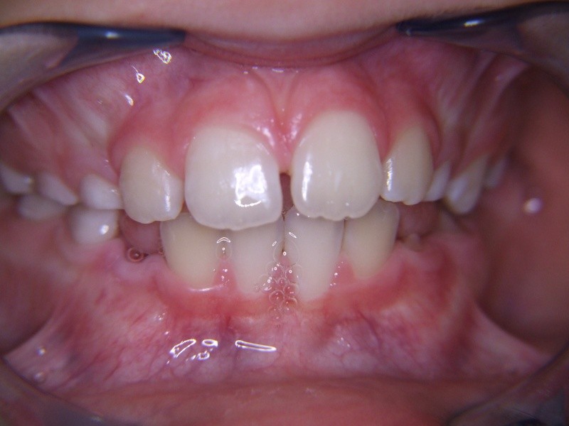
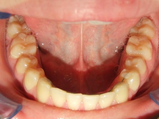
eindfoto
Duur
Actieve fase: 18 maanden  
Beschrijving
Leeftijd bij aanvang: 10 jaar
1-6 maanden: Bonded Hyrax in de bovenkaak, banden/slotjes met Transforce in de onderkaak
7-24 maanden: Volledig banden/slotjes in de boven-en onderkaak met expander
Retentie fase: Wrap en C-CBar