Geen financiële verrassingen Gratis eerste consult Beste behandeling
Behandeling Hajar
Duur
Actieve fase: 24 maanden
Beschrijving
Leeftijd bij aanvang: 9 jaar
1-6 maanden Bonded Hyrax in de bovenkaak, banden/slotjes in de onderkaak met Transforce
7-13 maanden: Twinblock
14-47 maanden: Volledig banden/slotjes in de boven-en onderkaak
(omdat er hier blijvende kiezen ontbraken moesten er kiezen getrokken worden en de ontstane ruimtes gesloten, dit verklaart de langere behandeltijd)
Retentie fase: Wrap en C-CBar
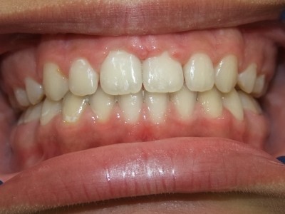
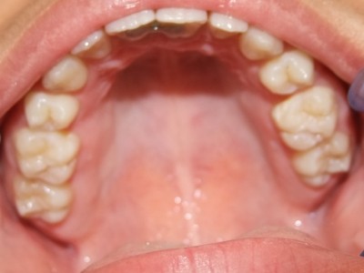
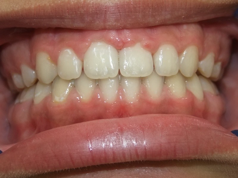
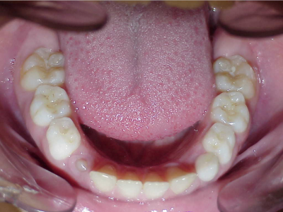
Voor behandeling
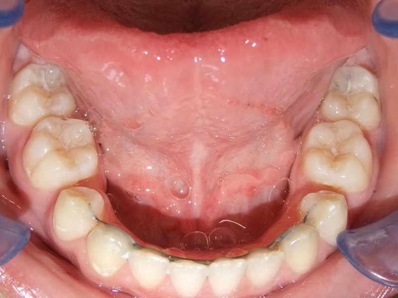
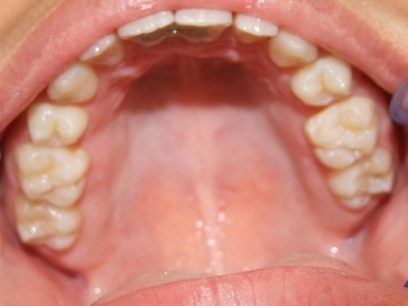
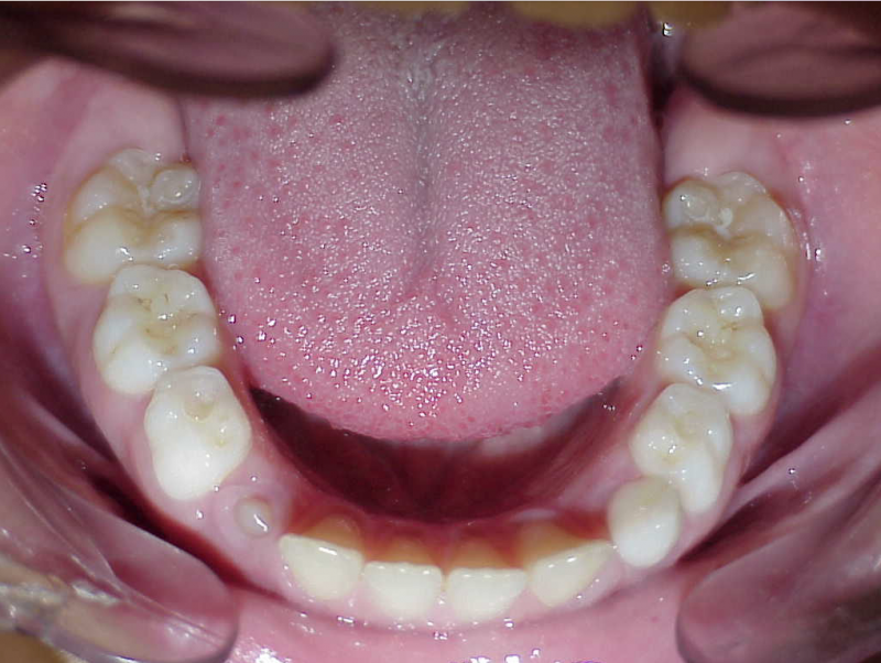
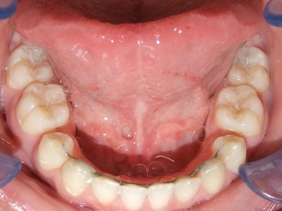
Na behandeling
Gratis eerste consult
Groot genoeg voor innovatie, Lorem ipsum dolor sit amen, consectetur