Geen financiële verrassingen Gratis eerste consult Beste behandeling
Behandeling Michiel
Duur
1,5 jaar
Beschrijving
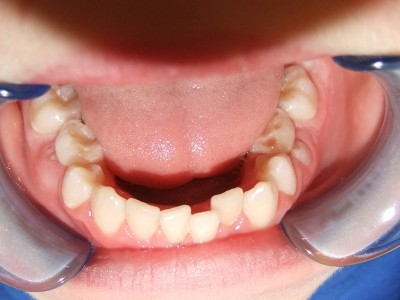
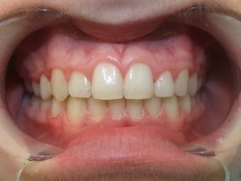
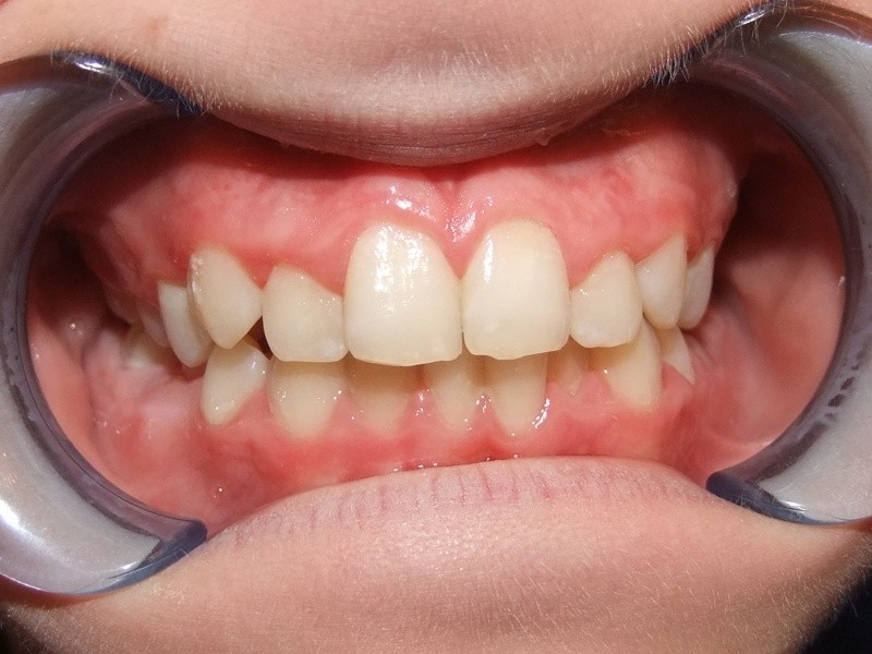
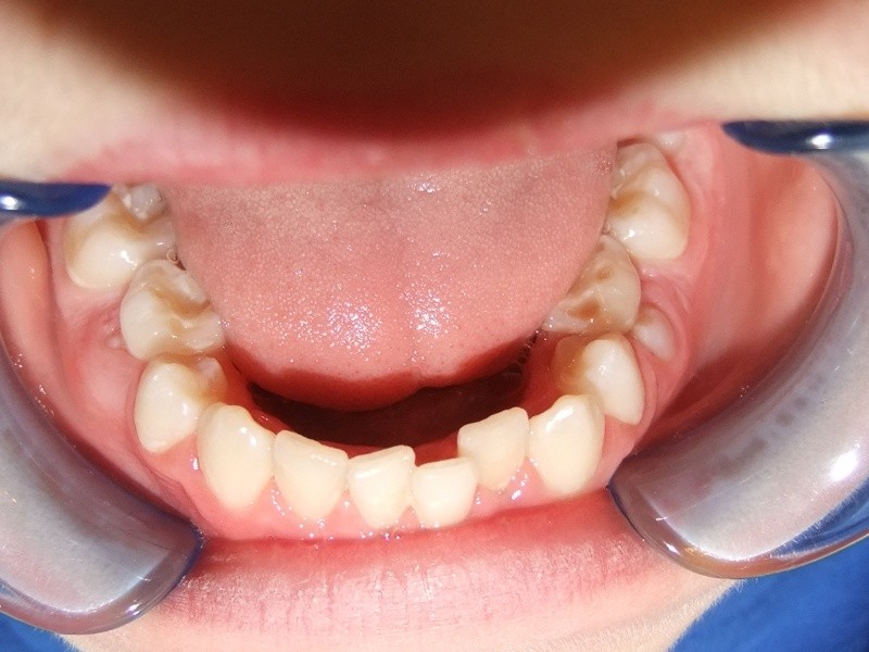
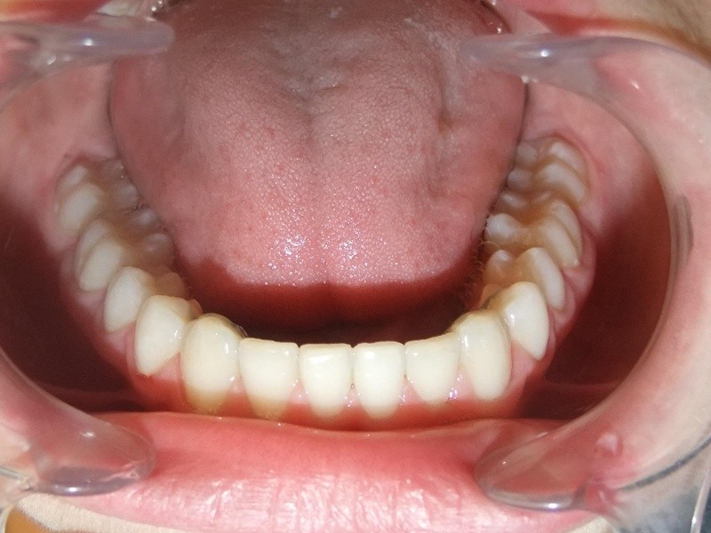
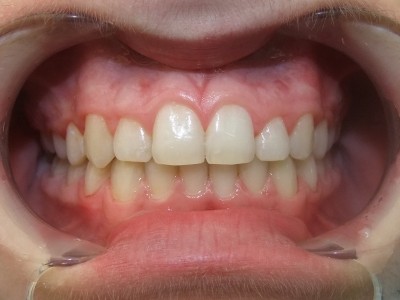
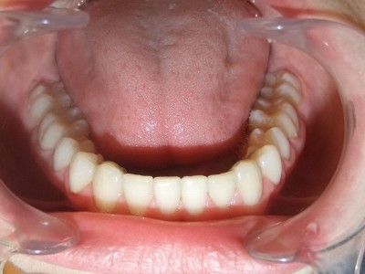
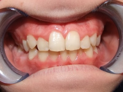
Leeftijd bij aanvang: 12 jaar
Maand 1-6: BondedHyrax, TransForce onderkaak en brackets onderkaak
Maand 7-18: Rest vaste apparatuur (brackets)
Retentie fase: vanaf 18de maand met Invisable Retainer en C-C Bar
Voor behandeling
Na behandeling
Gratis eerste consult
Groot genoeg voor innovatie, Lorem ipsum dolor sit amen, consectetur